Hüftgelenksdysplasie bei der Deutschen Dogge
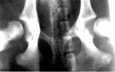
Gesunde Hüftgelenke (Baal "vom Gehrensee" - Aufnahme ohne Narkose)
Die Hüftgelenksdysplasie (HD) ist eine erblich bedingte Erkrankung. Als hauptsächliche Ursache und auslösender Faktor wird die Lockerheit des Hüftgelenks angesehen. Gelenkkopf und Gelenkpfanne nutzen sich dadurch verstärkt ab und verursachen bei Bewegungen Schmerzen.
Die HD wird ihrer Ausprägung nach in verschiedene Ausprägungsgrade eingeteilt.
Eine lockere, schlecht entwickelte Hüfte lässt sich u. a. auf eine genetische Veranlagung zurückführen. Dabei wird nicht ein spezieller HD-Wert vererbt, sondern eine HD-Spanne. Es können also im günstigsten Fall Anlagen von HD-O bis HD-1 vorhanden sein. Genauso ist es möglich, dass Anlagen von HD-0 bis HD-4 durch die Gene mitgegeben werden. Die Ausprägung der HD ist innerhalb der vererbten HD-Spanne von der Fütterung (falsches Phosphor/Kalk Verhältnis im Futter), von der Belastung der Gelenke und in der Wachstumsphase von der Wirkung von Hormonen abhängig.
Auf der Basis
einer röntgenologischen Untersuchung des zur Zucht vorgesehenen Tieres
bestimmt man den Zustand der Hüften im Alter von etwa 18 Monaten.
Der HD-Status wird dann in einem Gutachten jedem Züchter für sein
Zuchttier ausgehändigt. Trotzdem wird bei Deutschen Doggen immer noch mit leichter Hüftgelenksdysplasie gezüchtet.
Das heißt, formale Schönheit laut Standard geht vor Gesundheit.
Die Einführung einer Nachzuchtbeurteilung auf der Basis einer Früherkennung von HD durch Ermittlung des Distraktionsindexes der Hüften im Welpenalter
scheint aber auf Grund der HD-Belastung einzelner Zuchtlinien notwendig zu
sein. ( Die Vorhersagegenauigkeit im Alter von 8-10 Wochen beträgt bereits
80 %.) Neueste Erkenntnisse:
Das PennHIP® - Verfahren ermöglicht Diagnostik, Früherkennung u. Therapie.
Was zu bedenken ist:
Die Empfehlung ab dem 18. Monat eine HD-Röntgenkontrontrolle durchzuführen
hat für einen Liebhaberzüchter folgende Konsequenzen:
Die Dogge wird 18 Monate lang gehegt und gepflegt. Es wird eine enge Bindung aufgebaut. Sie wird in der Öffentlichkeit
sozialisiert und auf dem Hundeplatz ausgebildet. Im schlechtesten Fall wird sie wegen HD C im Alter von 1,5 Jahren abgegeben.
(Die meisten Züchter sind nur in der Lage eine begrenzte Anzahl von Doggen zu halten.) Allein aus diesen Grund ist eine HD-Früherkennung notwendig. Hinweis: Doggen mit leichter HD (Wert 2 oder C) sind beschwerdefrei. Sind sind aber für die Zucht nicht geeignet, weil sie
den Befallsgrad einer Population nach unten drücken.
Nichtsdestotrotz wird im größten deutschen Zuchtverein dem VDH, immer noch mit leichter HD gezüchtet. Sicher kann man durch ein sehr frühes Röntgen nur eine Tendenz zu HD-Freiheit oder zur HD
ablesen. (z.B. Seitendifferenzen beider Hüften, ein knapper Norberg-Winkel oder Unterschiede zu anderen Geschwistern des Wurfes.) Trotz aller Ungenauigkeiten
ist es ein Schritt nach vorn. Eine weitere Methode wäre die Anwendung des Ultraschalls. (Sonographie)
Hierbei werden nicht nur die Knochen, sondern auch die Knorpel des Gelenks dargestellt.
| Lockere Hüftgelenke,
Instabilitätsindex 1,0, Golden Retriever, ml, 6 Monate alt |
|
| |
Hund mit HD-Grad B und sehr
lockeren Hüftgelenken in normaler Aufnahmetechnik: keine Luxation |
| Der selbe Hund in der
gehaltenen Aufnahme: Deutliche Subluxation der Femurköpfe. Distraktionsindex 0,50 rechts und 0,47 links |
Problematik :
"Seit dreißig
Jahren gibt es Reihenuntersuchungen und Eradikationsprogramme bei Rassehunden
mit dem Ziel, die Hüftgelenksdysplasie zu bekämpfen.
Dennoch ist die HD bei 40% der Rassehunde immer noch anzutreffen. Grund
für den geringen Erfolg ist der fortgesetzte Einsatz dysplastischer Hunde
und ihrer Nachkommenschaft auf der Basis der heutigen Beurteilungsmethoden. Es
sollten nur Hunde mit normalen (A) oder fast-normalen (B) Befund zugelassen
werden, alle dysplastischen Hunde sind strikt auszusondern."
Mark Flückiger: "HIP Dysplasia; what's new in Imaging?" 9th ESVOT Congress Munich 1998
Distraktionsindex:
"Das
Maß der Dislokation des Oberschenkelkopfes aus dem Acetabulum im
Verhälnis zum Radius des Oberschenkelkopfes beschreibt der
Distraktionsindex (DI). Hunde mit gesunden Hüftgelenken haben einen
Distraktionsindex < 0,3 , Hunde mit einem DI > 0,4 werden als Träger
einer Disposition für HD betrachtet.
Liegt der DI zwischen 0,3 und 0,5 ist die Einordnung etwas problematisch. Hunde
mit einem DI > 0,7 werden mit großer Wahrscheinlichkeit eine HD
entwickeln."
Mark Flückiger: "HIP Dysplasia; what's new in Imaging?" 9th ESVOT Congress Munich 1998
Früherkennung:
"Eine deutliche
Reduktion der HD ist zwischen 1972 u. 1990 nur beim Rottweiler zu verzeichnen
gewesen.
Die Bestrebungen um eine niedrige HD-Rate zielen primär auf einen
Zuchtausschluss betroffener Tiere. In den letzten Jahren wurden Methoden zur
Früherkennung der HD entwickelt, nach denen die Erkrankung
röntgenologisch bereits bei 7 Wochen alten Welpen diagnostiziert werden
kann. Die vorliegende Studie stellt Vergleiche zwischen 7 verschiedenen
Methoden zur Früherkennung dysplastischer
Hüftgelenksveränderungen an. .....
Die Abweichungen
zwischen dem mit 6-8 Wochen und mit 52 Wochen gemessenen DI (Distraktionsindex)
waren bei allen Rassen minimal.
Die Vergleichsuntersuchungen ergaben, dass 90% bzw. 87% der im Alter von 6-10
bzw. 16-18 Wochen gemessenen DI's >0.6 mit einer degenerativen
Hüftgelenksveränderung im Sinne der HD bei der 52
Wochenabschlussuntersuchung einhergingen. Alle Tiere der Studie mit
einem DI>0,7 bei der Frühuntersuchung entwickelten im ersten Lebensjahr
eine HD. Insgesamt betrachtet ergab sich eine HD-Erkrankung bei
DI-Durchschnittswerten von 0,56 und 0,6 (im Alter von 6-10 Wochen), von 0,61
und 0,57 (im Alter von 16-18 Wochen) und 0,56 und 0,61 (im Alter von 52
Wochen)."
(aus "Früherkennung der Hüftgelenksdysplasie bei Hunden: Vergleich zwischen zwei Palpationsmethoden und fünf Röntgentechniken" Adams, Dueland, Meinen, O'Brier, Gipliano, Nordheim)
Deutsche Doggen vom Gehrensee
Eigene Erfahrungen zur Früherkennung von HD.
Auf Grund des Artikels: "Vergleich zwischen zwei Palpationsmethoden und fünf Röntgentechniken" (Adams, Dueland, Meinen, O'Brier, Gipliano, Nordheim) haben wir einen kompletten Wurf Doggenwelpen (allerdings ohne Narkose) im Alter von 9 Wochen röntgen lassen.
Die Ergebnisse der oben genannten Studie kann voll bestätigt werden. Es läßt sich sogar im Alter von 9 Wochen zum Teil eine Tendenz zu HD 1 ((Übergangsstadium) erkennen.
| HD -
Frühdiagnose, G-Wurf im Alter von 9 Wochen (Röntgenkontrolle ohne Narkose) Alle Röntgenbilder zeigen bereits im Alter von 9 Wochen sehr gut ausgeprägte Hüftgelenke. Die Kugel liegt gut in der Pfanne. Es gibt damit keinen Hinweis für lockere Hüften, die später zur HD führen kann. Probleme durch mittlere u. schwere HD können damit ausgeschlossen werden. |
Nachkontrollen im Alter vom 17. - 18. Lebensmonat haben
ergeben, daß sich der HD-Durchschnitt unseres G-Wurfes zwischen 0 - 1
bewegt. Die Röntgenbilder von der 9. Lebenswoche zeigen schon
charakteristische Merkmale der Röntgenbilder vom 17. - 18. Lebensmonat.
Fütterung u. Haltung waren so optimal, daß sich die Gelenke mit
zunehmenden Alter nicht negativ entwickelten. Ein Wert von HD-0 für alle
Welpen ist allerdings kaum zu erreichen. Da im VDH/DDC immer noch Doggen mit HD-2 zur Zucht zugelassen
werden, wird das Thema HD wohl weiter aktuell bleiben. Die Früherkennung von HD durch Röntgendiagnose ist für uns ein ergänzendes Mittel um unsere Zuchtlinie HD-frei zu halten. (HD-1=Verdacht oder Übergangsstadium) |
|||||||
|
|
||||||||
Bild 1 zeigt trotz schlechter Lagerung eine Differenz im Norbergwinkel zwischen der linken und rechten Hüfte der Hündin. Wir wiederholten im Alter von 17,5 Monaten die Aufnahme der Hüfte. (diesmal unter Vollnarkose) Es zeigte sich, daß die linke Hüfte einen Norbergwinkel von 100° hatte. An der rechten Hüfte wurden 105° gemessen. Der Gelenkspalt und die Gelenke waren vorbildlich. Die Hündin wurde demnach mit HD-1 also Übergangsstadium eingeschätzt.
Bild 2 zeigt bereits im Alter von 9 Wochen ein absolut vorbildliches Röntgenbild der Hüfte. Die Hündin wurde im Alter von 17 Monaten ebenfalls geröngt. Sie wurde als HD-frei bewertet. (HD-0)
Im Alter von 9 Wochen läßt sich meiner Meinung nach sehr gut die Lagerung des Gelenkkopfes in der Pfanne beurteilen. Desweiteren sind bereits Rückschlüsse auf den zu erwartenden Norbergwinkel möglich. Eine Einschätzung des Gelenkspaltes halte ich für fragwürdig.
Mit abgenutzten
Gelenken haben wir noch nichts zu tun gehabt. Meines Wissens nach sind bei
Doggen HD-Werte von 3 - 4 (mittel u. schwer) zumindest nicht sehr häufig.
Statistiken von Zuchtvereinen sind zwar vorhanden aber sicher nur begrenzt
aussagefähig. Man muss aber immer davon ausgehen, dass nicht wenige
Züchter durch Röntgenstichproben vorselektieren, damit die
problematischen Fälle zur Zuchtzulassung gar nicht erst vorgestellt werden.
Will man auf dem Gebiet der Bekämpfung der HD wirklich weiterkommen ist
die Einführung einer Nachzuchtkontrolle, in der alle Welpen eines Wurfes
untersucht werden, unumgänglich.
Ahrensfelde, den 26.04.2011
G. Dießel
