Zuchthündin im Ruhestand "Lena vom Gehrensee" (Alter 8 Jahre)
"Lena" gehört zur 6. Generation der Gehrenseedoggen.
Sie wurde in Berlin sozialisiert und besitzt hervorragende Begleithundeigenschaften.
Lena ist eine ausgeglichene, sehr anschmiegsame Doggenhündin.
Auf Grund von 6 Generationen Auskreuzung ist ihr Gesundheitsstatus hervorragend.
Sie verursachte bisher keine Tierarztkosten durch Krankheit.
Auszeichnungen:
SG1 Klasse: Junghund OBBC/DRC Weltcup-Siegerschau - SG1 Klasse: Junghund OBBC/DRC 16.Ost-Brandenburger Siegerschau -
SG1 Klasse: Junghund OBBC/DRC Bundessiegerschau - SG1 Klasse: Junghund OBBC/DRC Europacup-Siegerschau
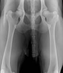
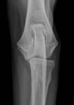
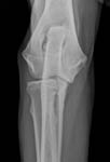
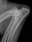
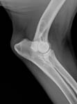
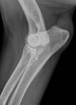
Gesundheitsstatus vom 26.11.2018 Die Röntgenbilder zeigen keinen Hinweis auf HD oder ED bei Lena vom Gehrensee. Die veterinärmedizinischen Untersuchungen von Jana auf HD, ED u. DCM und die Zuchtzulassungsprüfung wurden erfolgreich bestanden.
Die Gelenke sind HD und ED - frei, das Herz ohne Befund. Vor dem Hintergrund, dass seit 5 Generationen alle Zuchthündinnen bis ins hohe
Alter eine hervorragende Herzleistung hatten und bei ihnen niemals Herzprobleme auftraten, sind solche aufwendigen Ultraschalluntersuchungen
eine reine Routinesache. Hinzu kommt, dass die Mutterhündin (im Ruhestand) "Indra" mit 6 Jahren durch eine extrem hohe Fitness in Bezug
auf sportliche Qualitäten wie Schnelligkeit und Ausdauer aufwarten kann. Im Gegensatz zu den nicht wenigen gewerblichen Doggenzuchten zeichnet sich
die Doggenzucht vom Gehrensee mittlerweile durch 6 Generationen Zucht in Folge aus.
Nach 1-2 Würfen gehen die Zuchthündinnen vom Gehrensee in den Ruhestand. Dabei bleiben sie beim
Züchter in ihrer gewohnten Umgebung.
Lena besitzt ein vollzahniges Scherengebiss.
Vater: Mito vom Merkelbach HD A - Mutter: Jana vom Gehrensee HD A ED frei
Übersicht unten:
Herzultraschall von Lena vom Gehrensee zur Vermeidung von DCM
Durch Klick auf die Übersicht können die Herzdaten eingesehen werden.
Der Herzcheck ergab keinen Hinweis auf DCM.
Die Zuchthündin im Ruhestand Jana vom Gehrensee (Alter 11 Jahre)
Internationaler Champion 2016 (OBBC) Preußen-Sieger V1 2016 --- Frühjahrscup-Sieger V1 2016 "Best of Show" aller Rassen Platz 3
14. Final-Cup-Sieger V1 2016 --- Jahresendsieger V1 2016
Um die erreichte Qualität immer wieder zu überprüfen werden
Doggentreffen durchgeführt bei denen alle Geschwister oder Halbgeschwister insbesondere im städtischen Bereich enorm belastet werden.
Es geht also weniger um Schönheit, sondern um das Verhalten gegenüber fremden Personen, fremden Hunderassen,
um das Verhalten unter Stress in der Öffentlichkeit und nicht zuletzt auch um die Tierarztkosten.
Unter anderem über neue Aufgabenstellungen sollen alte Gehrenseedoggen das Gefühl bekommen im Alter noch gebraucht zu werden.
