Ziel der Doggenzucht vom Gehrensee ist es, Wir halten eine eigene Mutterlinie in 7 Generationen Harlekinzucht auf der Basis Gefleckt x Schwarz.
Um gesunde u. robuste Deutsche Doggen zu bekommen züchten wir auf höchste
genetische Varianz.
Unsere Zuchtdoggen gehören nicht zu den Doggen, die nur für's Privatgelände geeignet sind. Unsere Zuchtmethoden unter Ausnutzung der Eltern-Nachkommen-Ähnlichkeit auf der Basis von Harlekinreinzucht: Was wird erwartet: gesunde, wesensfeste, sehr kräftige, vitale Doggenwelpen auf der Basis:
Schwarz,
Boston-Mantel - Harlekin-Dogge -
Grautiger -
eine nicht selten beträchtliche Lücke zwischen Anspruch und Realität
nicht aufkommen zu lassen.Vermehrung hat keine Ansprüche an die Rasse.
keine Inzucht / keine gewerbliche Massenzucht
keine zwingergeprägte Deutsche Doggen / keine Trennung von fremden Hunderassen
Die Doggenwelpen vom Gehrensee sind bereits am Abgabetag sehr selbstsichere Beifahrer im Auto.
Gezüchtet wird bei uns auf der
Grundlage des FCI-Standards für Deutsche Doggen Nr. 235/10.04.2002/D.
Darüber hinaus orientieren wir uns am Great Dane Standard des American Kennel Clubs.
In den USA und GB (UK-Standard) wurde als
6. Farbschlag die Manteldogge (Boston Great Danes) klar definiert. In Deutschland wird der heterozygote Manteltiger auf Ausstellungen
in der Regel als "schlechter" Schwarzer eingestuft.
Eine weitere Besonderheit unserer Harlekinzucht ist, dass disqualifizierende, vermeidbare Standardfehler wie der
Porzellantiger aber auch gelbe oder blaue
Deutsche Doggen seit 5 Generationen kein Thema gewesen sind.
Kombinationskreuzung / Ziel: Gesundheit, Robustheit, Vitalität unter Ausnutzung des
Heterosis-Effektes. Diese Doggen altern langsamer.
Verdrängungskreuzung / Ziel: Partielle Verdrängung unerwünschter Merkmale der Harlekin-Doggen-Population.
Auslesezucht / Ziel: Etablierung gewünschter Merkmale (Vitalität, Substanz, Wesen, korrekte Augen u.ä.)
Weshalb wird die Kreuzungszucht schlecht geredet?
Deckakte, die mit sehr weiten Fahrten zum Deckrüden verbunden sind, setzen instinktsichere
Deutsche Doggen und eine hohe fachliche Kompetenz aller Beteiligten voraus. Darüber hinaus sind solche Verpaarungen immer aufwendig und teuer.
Bei kommerziell ausgerichteten Zuchten ist Geld in der eigenen Tasche immer wichter als Geld in den Hund zu stecken.
Erbgang / Da bei der Harlekinvererbung mehrere Gene beteiligt sind, handelt es sich um eine
multifaktorielle Vererbung (Polygenie).
Bei der polygenen Vererbung wird die Genwirkung sehr oft vermischt. Speziell
bei der Harlekindogge ergänzen sich die Genwirkungen oder liegen auf Grund von
Kodominanz nebeneinander. Die beteiligten Gene werden zwar nach den Vererbungsregeln weitergegeben,
der Mendelsche Erbgang ist aber kaum noch erkennbar. Weiß-schwarz gefleckte Harlekin-Doggen entstehen nur, wenn es zu einem Genaustausch bei der
Zellteilung (Meiose) kommt. Eine Kopplung von Genen, die auf zwei verschiedenen Chromosomen liegen, ist rein zufällig. Genkopplungen werden zwar vererbt,
das macht den Erbgang allerdings nicht einfacher.
Solche vielschichtigen Erbgänge lassen sich schlecht kalkulieren und schon gar nicht berechnen.
Diese Unberechenbarkeit tritt auch immer dann auf wenn Gene kryptisch auftreten oder wenn eine Genwirkung sich abschwächt. Es
kann auch in wenigen Fällen passieren, dass es durch genetische Reversion zu einen spontanen Verlust einer Erbanlage kommen kann.
Bei unseren Harlekins sind folgende Gene beteiligt: "K" das Basis-Gen für die dominant schwarze Fellfarbe,
das kodominant
vererbende Merle (M = Fleckungsfaktor) auf Chromosom 10 in Verbindung mit dem
Harlekin-Gen (H = Weiß-Faktor) auf Chromosom 9
(nach Clark) u.
dem Irish-Spotting-Gen S/i auf Chromosom 20.
(S = Scheckungs-Gen für Boston-Zeichnung des Manteltigers. Boston = Hinweis auf
Boston-Terrier-Zeichnung). Aus Gründen einer standardgerechten Zeichnung züchten wir nicht mit dem
extrem weiß machenden Piebald-Gen S/p. (Plattenhunde)
Hinweis zum Merle: Der Fleckungsfaktor Merle ist ein mutiertes mobiles genetisches Element im Silver-Gen auf Chromosom 10.
Es führt zur Aufhellung der Fellfarbe. Liegt es reinerbig als Doppelmerle vor, kann es zu Schäden an Augen und Ohren führen.
Eine Sonderfom ist das kryptische Merle. Es führt nicht zur Ausbildung des Harlekintyps. Hierbei soll es sich um ein verkürztes mobiles genetische Element (Merle)
im Silver-Gen handeln.
Tierschutz / Bei dieser Verpaarungsvariante entstehen keine homozygoten
Doppelmerle-Doggen. Schäden an Augen und Ohren sind damit
ausgeschlossen.
Die Einhaltung des § 11b (1) Tierschutzgesetz (Qualzuchtparagraph) ist gewährleistet. Folgende Gene für weiße Grundfarbe: Sp (Piebald) und
Si (Irish-Spotting) haben keine tierschutzrechtliche Relevanz.
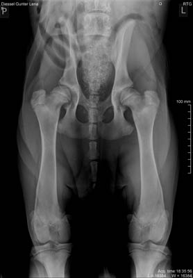
Doggengesundheit /
Züchterfortbildung seit 2011 an der Freien Universität Berlin, Tierklinik für Fortpflanzung.
Da der Welpenmarkt von uns nicht regelmäßig bedient wird, kann man sich für einen Doggenwelpen vom Gehrensee nicht in einer Bestellliste vormerken lassen.
Es ist aber möglich für einen angekündigten Wurf unverbindlich das Interresse an einen Welpen anzumelden.
Die Abgabe unserer Doggenwelpen erfolgt ausschließlich als Familienhund.
Sie haben die Möglichkeit sich ihren Welpen selbst auszusuchen. Nachfolgende regelmäßige
Besuche ihres Welpen in der Prägephase zwischen der 4. und 8. Lebenswoche fördern die Wesensentwicklung der Welpen.
Welpenabgabe: ab der 9. Lebenswoche auf der Basis einer artgerechten Haltung
Zuchtbasis: Abstammung / Pedigree
durchschnittliche Wurfzahl: 2 je Hündin, 8 Würfe in 4 Generationen
Deckrüden: ausschließlich Fremdanpaarung
Begleithundeigenschaften: Unsere Zuchthündinnen verhalten sich absolut entspannt im gesamten Berliner S+U-Bahn-Liniennetz
auf Märkten und bei Folksfesten.
Elterntiere:
Unsere Doggenhündin "Indra" hat die veterinärmedizinischen
Untersuchungen (HD, ED, Herzultraschall) und die Zuchtzulassungsprüfung (ZZL) erfolgreich bestanden.
Da Indra mittlere Rüdengröße hat, ist die Deckrüdenwahl sehr begrenzt.
Nicht wenige Harlekinrüden sind auf Grund ihrer geringeren Größe wegen zu erwartender Schwierigkeiten beim Deckakt kaum geeignet.
Wir gehen davon aus, dass "frisches Blut", aus einer sorgfältig gezüchteten Doggenlinie, unsere eigene Doggenzucht nur bereichern kann.
Die Wahl des Deckrüden erfolgt langfristig. Die Zuchtlinien werden europaweit eingekreuzt. Mit dieser Methode ist immer ein gewisses Risiko verbunden.
Deshalb stellen wir den Deckrüden erst vor, wenn unsere Mutterhündin tragend ist.
Da wir unsere Doggenzucht seit nunmehr 5 Generationen am besten kennen, geben wir dem neuen Besitzer eines Doggenwelpens aus
unserer Zucht auf Lebenszeit konkrete Hinweise zu Fragen von
Aufzucht und Haltung.
Das gilt insbesondere für die
Fütterung, die Erziehung u. für
die Doggengesundheit.
Zuchtbasis: Eigenschaften
| - Seit 7 Generationen keine Herzkrankheiten bei unseren Zuchthündinnen. |
| - Seit 7 Generationen keine Feststellung von HD in der Mutterlinie. (HD A oder B) |
| - Seit 7 Generationen keine Anpaarung von Rüden mit leichter Hüftgelenksdysplasie (HD C). |
| - Seit 5 Generationen kein Knochenkrebs. |
| - Seit 3 Generationen Kontrolle auf DCM (Dilatative Kardiomyopathie). |
| - Seit 3 Generation Kontrolle auf Ellenbogengelenksdysplasie. |
| - Seit 6 Generationen: ein sehr aufgeschl. Sozialverhalten u. Zuchtdoggen Fremden gegenüber. |
| - Größe der Hündinnen unserer Mutterlinie: 80 - 84 cm Risthöhe. |
| - Zuchthündinnen: robust auch im hohen Veteranenalter. |
| - Wesen: lieb, anhänglich, bewegungsfreudig, nervenstark, durchsetzungsfähig |
| - keine Leinenaggression |
| - keine Probleme bei Hotelübernachtung, voll urlaubsfähig |
| - Alle Zuchthündinnen sind hervorragende, zuverlässige Begleithunde mit oder ohne Leine. |
| - keine Inzucht, höchste genetische Varianz |
Haltungsbedingungen:
| - Familienanbindung, keine ausschließliche Zwingerhaltung, großes Grundstück über 1000 m². |
| - Wir passen die Haltung den individuellen Erfordernissen der einzelnen Doggen an. |
| - Diese angepasste Haltungsform führte zu einem sehr hohen Lebensalter von über 10 Jahren. |
Ausstellungen:
| - Unsere Zuchtdoggen werden auf Rassehundeausstellungen von Hundezuchtvereinen mit unterschiedlichen Dachverbänden ausgestellt. |
| - Der Schwerpunkt unserer Ausstellungsaktivitäten liegt z.Z. in der Altersklasse. |
| - Unsere Zuchthündinnen im Seniorenalter (über 8 Jahre), befinden sich grundsätzlich in Züchterhand. Sie haben beste Beurteilungen bekommen. |
Unsere Welpenabgabe erfolgt auf folgender Grundlage:
Von Seiten des Züchters wird folgendes garantiert:
| - Aufzucht kontrolliert durch einen unabhängigen Zuchtwart. |
| - Entwurmung regelmäßig ab der 2. Lebenswoche. |
| - Zweifachimpfung mit 6,5 Wochen / Parvovirose, Staupe |
| - Fünffachimpfung mit 9 Wochen / Staupe, Hepatitis, Parvovirose, Parainfluenza-2, Leptospirose |
| - Gesundheitliche Abnahme durch einen Tierarzt. |
| - Abgabe mit Mikrochip u. Anmeldung durch den Züchter. |
| - Alle Welpen bekommen Zuchtpapiere als Abstammungsnachweis. |
| - Frühester Abgabetermin: 9. Lebenswoche. |
| - Die Welpen sind bereits an das Auto gewöhnt. |
Vom Käufer wird folgendes erwartet:
| Eine artgerechte Haltung und Aufzucht muss gewährleistet sein. |
| Das betrifft insbesondere: |
| - Die Pflege u. Haltung von Deutschen Doggen sollte ohne Abstriche finanzierbar sein. |
| - Räumliche Voraussetzungen für die Welpenaufzucht und Doggenhaltung sind unabdingbar. |
| - Die zeitlichen Möglichkeiten, insbesondere bei der Welpenaufzucht, sollten angemessen sein. |
Hundeführerschein:
Die Erfahrungen mit der eigenen Zuchtlinie werden selbstverständlich vom Doggenzüchter an den Welpenkäufer weitergegeben.
Als Züchter nehmen wir den Doggenstandard in Bezug auf das Wesen der Deutschen Dogge sehr wörtlich:
Wir erwarten mehr von unseren Deutschen Doggen als die Gewöhnung an Familie, Grundstück, Doggenplatz und Ausstellungsring.
G.Dießel / Ahrensfelde / Jan. 2013
