Die Vorbereitung unserer Würfe
|
|
Alle Zuchthündinnen werden intensiven tierärztlich Untersuchungen unterzogen |
Konkrete Wurfvorbereitungen Genotyp-Nachweis Da nach Aussagen von Genetikern der Clemson University
(South Carolina)) schwarze Great Danes Träger des Harlekin-Gens (H) sein können, wurde Jana und Jarina auf dieses
"Weißgen" untersucht. Beide Mantel-Hündinnen sind H-negativ. Das bedeutet, dass sie dieses Gen nicht weitervererben können. Es wird
vermutet, dass bei Reinerbigkeit auf dieses Gen die betroffenen Fruchtanlagen in der Mutterhündin absterben weil sie nicht lebensfähig sind. Zytologische Untersuchung bei Lena vom Gehrensee Deckterminbestimmung Die Bestimmung des Decktermins erfolgt grundsätzlich immer durch Vergleich mehrerer Parameter für die Hitze der Mutterhündin.
Zu den ersten konkreteren Wurfvorbereitungen gehört die Kontrolle des Impfstatus und eine Überprüfung der letzten Entwurmungen
etwa 1-2 Monate vor der zu erwartenden
Hitze der Mutterhündin. Auf Grund der Rudelhaltung aller Hündinnen erfolgt in der Regel zu dieser Zeit eine komplette Impfung
und Entwurmung aller Doggen vom Gehrensee.
Nach Empfehlungen der Tierklinik für Fortpflanzung der Freien Universität Berlin wird die Zuchthündin vor dem Wurf 2x gegen Herpes geimpft.
Darüber hinaus wird Kontakt zu mehreren Deckrüden aufgenommen. Grundsätzlich werden immer mehrere Deckrüden geplant.
Es besteht immer die Möglichkeit, dass ein Rüde kurzfristig als Deckrüde ausfallen kann.

Video: Sperma von "No Doubt About It v. Jewel's Blue"
Künstliche Besamung
Auf Grund meiner jährlichen Weiterbildungen an der Tierklinik für Fortpflanzung der Freien Universität Berlin, bin ich als Doggenzüchter bestens über die verschiedenen Möglichkeiten der künstlichen Besamung bei Hunden informiert. Als Züchter bin ich aber der Meinung das solche Besamungen nur in begründeten Ausnahmefällen erfolgen sollten. Ich persönlich bin kein Anhänger der künstlichen Besamung von Hunden. Dazu eine kurze Begründung: Die Gebühren für einen natürlichen Deckackt liegen bei 600,- oder 700,- Euro. Die Kosten für einen Auslandsdeckakt sind doppelt so hoch. Die gesamten Kosten für eine künstliche Besamung sind noch einmal deutlich höher. Ich kenne niemanden, der einen Welpenpreis von mehr als 2000,- Euro nur wegen einer künstlichen Besamung akzeptiert.
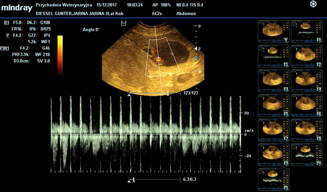
Ultraschalluntersuchung
Eine Ultraschalluntersuchung zur Feststellung der Trächtigkeit wird bei jedem Wurf durchgeführt. Es muss aber darauf hingewiesen werden, dass mit dieser Methode nicht zu 100% die Welpenzahl festgestellt werden kann.
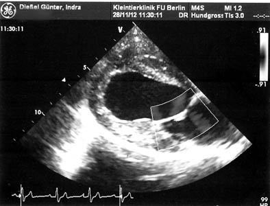
Herzultraschall und Röntgenkontrolle
Beide Methoden werden nur bei Geburtskomplikationen angewendet. Mit dem Herzultraschall kann die Herztätigkeit der Welpen und damit deren Sauerstoffversorgung kontrolliert werden. Durch Röntgen kann die Anzahl der Welpen ermittelt werden. Für beide Methoden steht ein Tierarzt unseres Vertrauens rund um die Uhr zur Verfügung.
Geburtstermin
Um den Geburtstermin besser prognostizieren zu können legen wir bei jedem Wurf ein Körpertemperarurprofil an. Diese Methode ist enorm wichtig, da hierdurch Komplikationen z.B. bei einer Einlingsträchtigkeit schnell erkannt und rechtzeitig veterinärmedizinische Maßnahmen eingeleitet werden können.
Hier das Temperaturprofil von Hera vom Gehrensee.
Geburtsergebnis
Das Geburtsergebnis ist in erster Linie von der genetischen Veranlagung der Eltern abhängig. Nachfolgend einige Fotos vom L-Wurf. Vater war
Mito vom Merkelbach (Harlekin) und Jana vom Gehrensee (Boston-Mantel). Da beide Eltern eine starke genetische Anlage zur Manteldogge besitzen, tragen alle
14 Welpen die weiße Zeichnung eines Manteltigers. Bei der Anpaarung einer Manteldogge an eine Harlekindogge fallen grundsätzlich keine
weißen Doppelmerledoggen. Diese Verpaarungsvariante ist deshalb ohne eine tierschutzrechtliche Relevanz.
L-Wurf / Welpenalter 20 Stunden
Die Namen des L-Wurfes:
Larmaro - Lester - Leo - Luc - Lasse - Lars - Laslo - Lady - Lara - Lena - Lola - Liane - Lilith - Luna.
